
See the source article by following the link below:
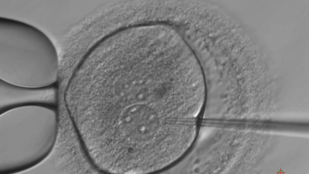
UK scientists edit DNA of human embryos for the first time using the gene-editing tool Crispr-Cas9, to understand how a specific gene works in human embryogenesis, as reported in the journal Nature.
UK scientists edit DNA of human embryos for the first time using the gene-editing tool Crispr-Cas9, to understand how a specific gene works in human embryogenesis, as reported in the journal Nature.
No comments:
Post a Comment